www.estiloysalud.es
Investigadores del IBiS descubren nuevos factores que influyen en la agresividad del neuroblastoma infantil
Ampliar

Investigadores del IBiS descubren nuevos factores que influyen en la agresividad del neuroblastoma infantil

martes 17 de febrero de 2026, 15:09h

Escucha la noticia

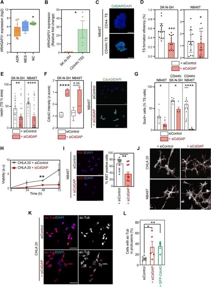
Un estudio del Instituto de Biomedicina de Sevilla (IBiS) ha descubierto nuevas claves sobre la agresividad del neuroblastoma infantil, un cáncer que representa el 15% de las muertes por cáncer en niños. Publicado en la revista Cell Communication and Signaling, el trabajo identifica a las proteínas Rho GTPasas como fundamentales en el comportamiento de estos tumores. El hallazgo más significativo es el papel de la proteína Cdc42, que actúa como un "freno natural" del tumor; niveles bajos de esta proteína mantienen a las células tumorales inmaduras y agresivas. Además, se identificó a ARHGAP31, que inhibe a Cdc42 y contribuye a la agresividad celular. Estos descubrimientos podrían llevar al desarrollo de tratamientos más personalizados y efectivos para los pacientes con neuroblastoma.

Un reciente estudio internacional ha revelado nuevas claves sobre la agresividad del neuroblastoma infantil, un tipo de cáncer que afecta principalmente a los niños. La investigación, publicada en la revista Cell Communication and Signaling, destaca la importancia de un grupo específico de proteínas en el comportamiento de estos tumores y sugiere posibles enfoques más personalizados para el tratamiento.

El trabajo fue liderado por los doctores Francisco M. Vega y Ricardo Pardal, del grupo IBiS especializado en “Fisiopatología de células madre neurales”, junto con María A. Gómez-Muñoz, quien figura como primera autora. Este estudio arroja luz sobre por qué algunos casos de neuroblastoma evolucionan de manera especialmente agresiva, lo que representa un desafío significativo en la oncología pediátrica.

Naturaleza del neuroblastoma

El neuroblastoma es el tumor sólido más común fuera del cerebro en los niños y es responsable de aproximadamente el 15% de las muertes por cáncer infantil. Una característica notable de este tipo de cáncer es su variabilidad: mientras que algunos tumores pueden desaparecer sin intervención médica, otros crecen rápidamente y son difíciles de tratar.

Los investigadores se enfocaron en una familia de proteínas conocidas como Rho GTPasas, que desempeñan un papel crucial en funciones celulares básicas como la forma, movilidad y maduración celular. Esta última es especialmente relevante, ya que las células menos maduras tienden a ser más agresivas y peligrosas.

Papel clave de las proteínas identificadas

Uno de los hallazgos más significativos del estudio es el descubrimiento del papel de una proteína llamada Cdc42. Esta proteína actúa como un “freno natural” para el tumor; cuando sus niveles son bajos, las células del neuroblastoma permanecen inmaduras y agresivas. En contraste, niveles elevados de Cdc42 promueven la maduración celular y reducen la malignidad del tumor.

Asimismo, los investigadores identificaron otra proteína denominada ARHGAP31 o CdGAP, que se encuentra en concentraciones elevadas en las células tumorales menos maduras. Esta proteína inhibe la actividad de Cdc42, contribuyendo así a mantener a las células en un estado agresivo.

Nueva firma molecular para tratamientos personalizados

La investigación también ha permitido desarrollar una nueva “firma molecular” basada en estas proteínas, lo que podría facilitar la predicción del curso de la enfermedad en cada paciente. Este avance promete mejorar la capacidad de los médicos para personalizar tratamientos, aumentando así las probabilidades de éxito terapéutico.

En conjunto, los resultados sugieren que estimular la maduración celular mediante el control de estas proteínas podría ofrecer una nueva estrategia terapéutica, especialmente para aquellos casos resistentes a los tratamientos convencionales.

Este importante trabajo contó con el apoyo de la Asociación Niños Enfermos de Neuroblastoma (NEN).

REFERENCIA: https://doi.org/10.1186/s12964-025-02649-3

"Rho GTPases signaling mediates aggressiveness and differentiation in neuroblastoma tumors". Cell Commun Signal (2026).

María A. Gómez-Muñoz, Mónica Ojeda-Puertas, Luis Luna-Ramírez, Aida Amador-Álvarez, Ismael Rodríguez-Prieto, Juan A. Cordero-Varela, Ricardo Pardal & Francisco M. Vega

———-

Sobre IBiS

El Instituto de Biomedicina de Sevilla (IBiS) es un centro multidisciplinar dedicado a investigar las causas y mecanismos detrás de las patologías más prevalentes en la población, así como al desarrollo de nuevos métodos diagnósticos y terapéuticos.

El IBiS está compuesto por 41 grupos consolidados y 39 grupos adscritos dirigidos por investigadores vinculados a la Universidad de Sevilla, el Consejo Superior de Investigaciones Científicas (CSIC) y varios hospitales universitarios. Se organiza en torno a cinco áreas temáticas: enfermedades infecciosas e inmunitarias, neurociencias, onco-hematología y genética, patología cardiovascular y otras patologías sistémicas.

A nivel institucional, el IBiS depende de diversas entidades gubernamentales y está gestionado por la Fundación para la Gestión de la Investigación en Salud de Sevilla (FISEVI).

Preguntas sobre la noticia

¿Qué es el neuroblastoma infantil?

El neuroblastoma es el tumor sólido más común fuera del cerebro en niños y causa alrededor del 15 % de las muertes por cáncer infantil. Puede comportarse de maneras muy diferentes, desde desaparecer sin tratamiento hasta crecer rápidamente y ser difícil de controlar.

¿Cuál es el enfoque principal del estudio del IBiS?

El estudio se centra en un grupo de proteínas llamadas Rho GTPasas, que regulan funciones básicas de las células, como su forma, capacidad de movimiento y maduración. La investigación busca entender por qué algunos casos de neuroblastoma son especialmente agresivos.

¿Qué papel juega la proteína Cdc42 en el neuroblastoma?

Cdc42 actúa como un "freno natural" del tumor. Niveles bajos de esta proteína mantienen las células del neuroblastoma inmaduras y agresivas, mientras que niveles más altos permiten que las células maduren y el tumor se vuelva menos maligno.

¿Qué descubrimiento importante se realizó sobre la proteína ARHGAP31 o CdGAP?

Se identificó que ARHGAP31 se encuentra en niveles altos en las células tumorales más inmaduras y reduce la actividad de Cdc42, favoreciendo un estado agresivo en las células.

¿Cómo puede ayudar este estudio a los tratamientos futuros para el neuroblastoma?

El estudio ha permitido desarrollar una nueva “firma molecular” basada en estas proteínas, lo que podría ayudar a predecir cómo evolucionará la enfermedad en cada paciente y facilitar tratamientos más personalizados.

¿Cuál es la implicación terapéutica sugerida por los resultados del estudio?

Estimular la maduración de las células tumorales mediante el control de estas proteínas podría convertirse en una nueva estrategia terapéutica, especialmente para los casos más resistentes a los tratamientos actuales.

¿Te ha parecido interesante esta noticia?    Si (0)    No(0)

+
0 comentarios