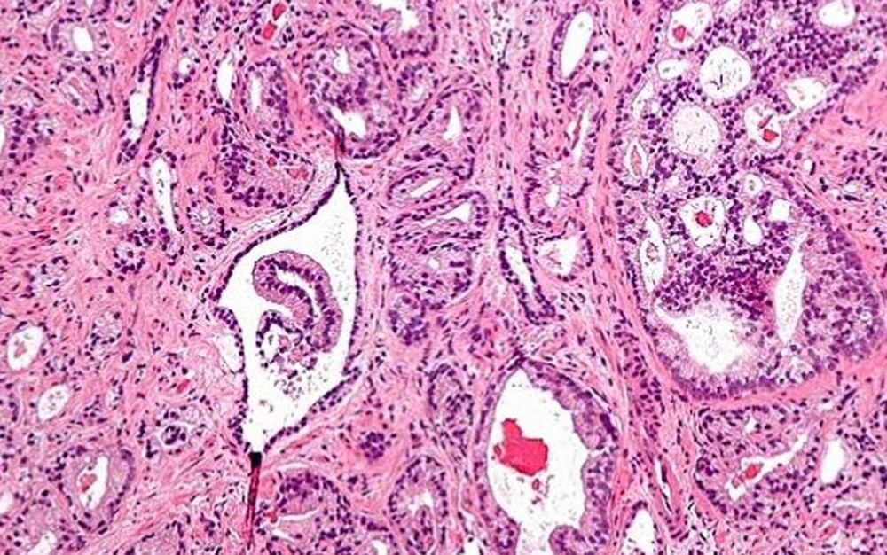
Un estudio reciente liderado por investigadores del Instituto de Salud Carlos III (ISCIII) ha revelado un notable aumento en el riesgo de desarrollar cáncer de próstata, particularmente en sus formas más avanzadas y agresivas, entre los hombres expuestos al arsénico. Este hallazgo se basa en el análisis del semi-metal acumulado en las uñas de los pies y forma parte del proyecto MCC-Spain, uno de los estudios epidemiológicos más extensos sobre cáncer realizados en España. Las conclusiones del estudio han sido publicadas en la revista Environmental Research.
El arsénico, un metaloide tóxico que se encuentra de manera natural en el medio ambiente, puede estar presente en el agua potable, ciertos alimentos y diversas actividades industriales. Su impacto en la salud es significativo, ya que incrementa el riesgo de varios tipos de cáncer. Aunque su relación con distintas neoplasias está bien documentada, su conexión específica con el cáncer de próstata había sido objeto de debate entre científicos.
Resultados del estudio
La investigación analizó datos de más de 800 hombres, incluyendo 345 pacientes recientemente diagnosticados con cáncer de próstata y 468 individuos sanos como grupo control. Los resultados indican que aquellos con mayores concentraciones de arsénico en las uñas presentan casi el doble de riesgo de desarrollar esta enfermedad en comparación con quienes tienen niveles más bajos.
Este aumento del riesgo es especialmente notable en tumores más agresivos, que tienden a tener una mayor extensión local o se encuentran en estados clínicos avanzados. Las autoras del estudio sugieren que estos resultados refuerzan la hipótesis de que la exposición crónica al arsénico no solo podría influir en la aparición del cáncer de próstata, sino también en su progresión hacia formas más severas. Además, no se ha encontrado evidencia que sugiera que la predisposición genética al cáncer modifique esta asociación.
Implicaciones para la salud pública
El trabajo está dirigido desde el Centro Nacional de Epidemiología (CNE), con la investigadora Esther García-Esquinas como autora principal. La investigación se llevó a cabo en colaboración con un equipo del Centro Nacional de Sanidad Ambiental (CNSA), y parte del equipo también pertenece al Consorcio Centro de Investigación Biomédica en Red (CIBER-ISCIII).
Estos hallazgos tienen profundas implicaciones para la salud pública, destacando la necesidad urgente de mantener y fortalecer la vigilancia sobre el arsénico presente en el agua potable, alimentos y el entorno ambiental. Si se confirma que el arsénico no solo aumenta el riesgo de cáncer de próstata sino también su gravedad, reducir la exposición podría ser clave para disminuir tanto la incidencia como la severidad de esta enfermedad.
Las autoras enfatizan que estos resultados subrayan la importancia de implementar estrategias preventivas basadas en la protección ambiental y garantizar equidad en salud, dado que el arsénico actúa como un factor de riesgo independiente respecto a la predisposición genética.
Referencia del artículo: Varea-Jiménez E, Pastor-Barriuso R, Sierra Á, et al. Association between arsenic levels in toenails and urine and prostate cancer risk: Findings from the MCC-Spain study. Environmental Research, 2026; 293:123767. DOI: 10.1016/j.envres.2026.123767.
La noticia en cifras
| Cifra |
Descripción |
| 800 |
Número total de hombres analizados |
| 345 |
Número de pacientes con cáncer de próstata diagnosticado |
| 468 |
Número de personas sanas en el grupo de control |
| Casi el doble |
Incremento del riesgo de desarrollar cáncer de próstata en hombres con mayores concentraciones de arsénico |
Preguntas sobre la noticia
¿Cuál es la relación entre la exposición al arsénico y el cáncer de próstata?
La investigación muestra que los hombres expuestos a arsénico tienen un mayor riesgo de desarrollar cáncer de próstata, especialmente en sus formas más avanzadas y agresivas.
¿Cómo se llevó a cabo el estudio sobre el arsénico y el cáncer de próstata?
El estudio analizó datos de más de 800 hombres, incluyendo pacientes con cáncer de próstata recientemente diagnosticado y un grupo de control sano, para evaluar las concentraciones de arsénico acumuladas en las uñas de los pies.
¿Qué hallazgos importantes se encontraron en el estudio?
Los hombres con mayores concentraciones de arsénico en las uñas presentan casi el doble de riesgo de desarrollar cáncer de próstata en comparación con aquellos con niveles más bajos. Este incremento es particularmente notable en tumores más agresivos y avanzados.
¿Qué implicaciones tienen estos hallazgos para la salud pública?
Los resultados subrayan la necesidad de fortalecer la vigilancia del arsénico en el agua potable y los alimentos, así como la importancia de estrategias preventivas para reducir la exposición crónica a este contaminante.
¿Quién lideró el estudio sobre el arsénico y el cáncer de próstata?
El estudio fue liderado por un equipo del Instituto de Salud Carlos III (ISCIII), con Esther García-Esquinas como autora principal.