www.estiloysalud.es

distrofia muscular congenita

Avances en terapia génica con CRISPR para distrofia muscular rara

02/03/2026@14:15:14

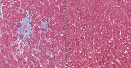
Investigadores del Instituto de Salud Carlos III han logrado avances significativos en el desarrollo de una terapia génica utilizando CRISPR para tratar la distrofia muscular congénita asociada al gen LMNA, una enfermedad rara y actualmente incurable. El estudio, publicado en Molecular Therapy Advances, demuestra que esta técnica puede aumentar la supervivencia y mejorar la función cardíaca en modelos animales portadores de la mutación Lmna c.745C>T. Aunque la eficiencia de edición es limitada, los resultados son prometedores y abren la puerta a futuras terapias personalizadas para enfermedades raras como las laminopatías.

  • 1