www.estiloysalud.es
Avances en terapia génica con CRISPR para distrofia muscular rara
Ampliar

Avances en terapia génica con CRISPR para distrofia muscular rara

lunes 02 de marzo de 2026, 14:15h

Escucha la noticia

Investigadores del Instituto de Salud Carlos III han logrado avances significativos en el desarrollo de una terapia génica utilizando CRISPR para tratar la distrofia muscular congénita asociada al gen LMNA, una enfermedad rara y actualmente incurable. El estudio, publicado en Molecular Therapy Advances, demuestra que esta técnica puede aumentar la supervivencia y mejorar la función cardíaca en modelos animales portadores de la mutación Lmna c.745C>T. Aunque la eficiencia de edición es limitada, los resultados son prometedores y abren la puerta a futuras terapias personalizadas para enfermedades raras como las laminopatías.

Una investigación realizada por el Instituto de Salud Carlos III (ISCIII) ha utilizado la herramienta de edición genética CRISPR para investigar un posible tratamiento para la distrofia muscular congénita asociada al gen LMNA, conocida como L-CMD. Este estudio, liderado por un equipo del Instituto de Investigación de Enfermedades Raras (IIER), ha sido publicado en la revista Molecular Therapy Advances.

Los hallazgos obtenidos en modelos celulares y animales indican un aumento en la supervivencia de los pacientes con esta enfermedad incurable, marcando así la primera validación terapéutica de una estrategia de edición génica mediada por CRISPR-Cas9 para tratar la L-CMD.

Un trastorno genético complejo

La distrofia muscular congénita asociada al gen LMNA es un trastorno genético raro que se caracteriza por debilidad muscular desde una edad temprana, así como problemas cardiacos como miocardiopatía dilatada e insuficiencia respiratoria. Esta enfermedad es monogénica, lo que significa que es causada por mutaciones en un único gen.

La técnica de edición genética CRISPR se presenta como una solución prometedora para este tipo de patologías. Se basa en un mecanismo conocido como 'tijeras moleculares' que permite modificar el ADN con gran precisión, posibilitando cortar, eliminar o reemplazar secuencias específicas del genoma y abriendo nuevas vías para el tratamiento de enfermedades genéticas.

Estrategia innovadora

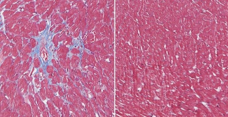
El equipo del ISCIII, bajo la dirección del doctor Ignacio Pérez de Castro, ha evaluado el potencial de CRISPR para eliminar la mutación más comúnmente asociada a esta enfermedad: Lmna c.745C>T, p.R249W. Para ello, utilizaron una guía específica denominada sg745T. En modelos celulares portadores de esta alteración genética, confirmaron que el complejo Cas9/sg745T muestra actividad específica hacia este alelo mutado dependiendo de la dosis utilizada.

Los análisis realizados en un modelo murino confirmaron la efectividad de esta estrategia mediante la administración de terapia utilizando virus adenoasociados en ratones portadores de la mutación causante de la enfermedad. La terapia aplicada mejoró significativamente la patología cardíaca asociada a L-CMD, incrementando la supervivencia media de los animales en más del 20%. Este resultado es especialmente relevante considerando que menos del 10% de los cardiomiocitos fueron editados por el sistema CRISPR en los animales tratados.

Perspectivas futuras

El doctor Pérez de Castro subraya que este estudio representa un primer paso hacia el desarrollo de una terapia capaz no solo de aumentar la supervivencia sino también potencialmente curar la L-CMD. Además, refuerza el potencial de las terapias génicas basadas en CRISPR para abordar enfermedades raras como las laminopatías.

"Aunque hasta ahora hemos logrado una eficiencia limitada en la edición genética, los resultados son alentadores y han superado nuestras expectativas. Estamos trabajando para superar estas barreras mediante el uso de editores evolucionados y optimizando los sistemas de entrega del complejo CRISPR. Nuestro objetivo es desarrollar una terapia personalizada que beneficie al mayor número posible de pacientes con esta enfermedad rara y que sirva como plataforma para futuros tratamientos dirigidos a otros portadores con mutaciones en el gen LMNA o a pacientes con distrofias musculares causadas por otras mutaciones puntuales", concluyó.

Referencia del artículo: CRISPR-mediated targeting of the LMNA c.745C>T mutation enhances survival and cardiac function in congenital muscular dystrophy. Gómez-Domínguez, Déborah et al. Molecular Therapy Advances, Volume 34, Issue 1, 201653.

Vídeo divulgativo sobre la investigación y sus principales resultados disponible en YouTube ISCIII.

Preguntas sobre la noticia

¿Qué enfermedad se está tratando con la terapia génica CRISPR?

La investigación se centra en la distrofia muscular congénita asociada al gen LMNA (L-CMD), una enfermedad rara y actualmente incurable que causa debilidad muscular, problemas cardíacos y respiratorios.

¿Cuál es el enfoque de la terapia génica utilizada en este estudio?

Se utiliza la herramienta de edición genética CRISPR-Cas9 para eliminar la mutación más común asociada a la L-CMD, específicamente la mutación Lmna c.745C>T, p.R249W.

¿Cuáles fueron los resultados del estudio en modelos animales?

Los resultados mostraron un aumento significativo en la supervivencia de los ratones portadores de la mutación, mejorando su patología cardíaca y aumentando su supervivencia media en más de un 20% tras la aplicación de la terapia.

¿Qué potencial tiene esta investigación para el futuro?

El estudio representa un primer paso hacia el desarrollo de una terapia capaz de aumentar la supervivencia y potencialmente curar la L-CMD, además de abrir posibilidades para tratar otras enfermedades raras causadas por mutaciones genéticas.

¿Qué limitaciones se han encontrado hasta ahora?

Aunque los resultados son prometedores, se ha observado que la eficiencia de edición obtenida es limitada. El equipo está trabajando para superar estas barreras mediante el uso de editores evolucionados y optimización en los sistemas de entrega.

¿Te ha parecido interesante esta noticia?    Si (0)    No(0)

+
0 comentarios